Table of Contents
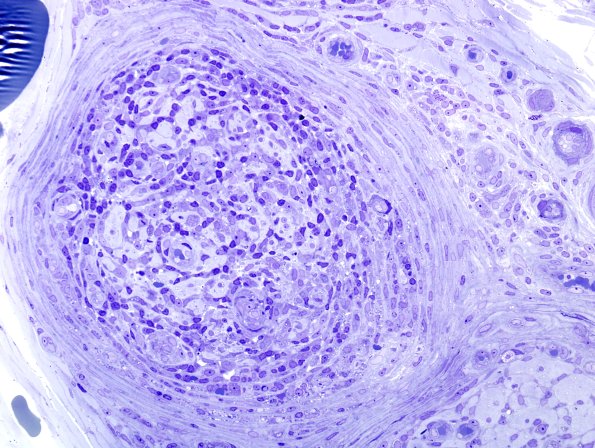
Washington University Experience | PERIPHERAL NEUROPATHY | 10 INFECTION | 4 Leprosy – Tuberculoid | 6A7 Leprosy, tuberculoid (Case 6) Plastic 19
Epithelioid histiocytes are separated by intercalated lymphocytes. (Plastic section)
