Table of Contents
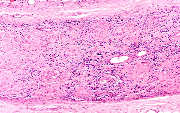
Washington University Experience | PERIPHERAL NEUROPATHY | 10 INFECTION | 4 Leprosy – Tuberculoid | 7A1 Leprosy, Tuberculoid (Case 7) H&E 20X 1
Case 7 No History ---- 7A1-3 Multiple granulomas and fibrous proliferation dominate this case. (H&E)
