Table of Contents
« prev
next »
Washington University Experience
|
PERIPHERAL NEUROPATHY
|
10 INFECTION
|
4 Leprosy – Tuberculoid
|
8A1 Leprosy, Tuberculoid (Case 8) 10X 1
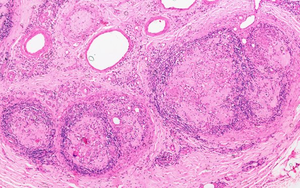
Case 8 No History ---- 8A1-4 Classic tuberculoid leprosy. (H&E)
Image Info
Camera Maker:
Olympus
Camera Model:
DP74
Shutter Speed:
7/12500 sec
Metering Mode:
Multi-Spot
Gallery RSS
|
Archive View
|
Login
|
Powered by
Zenphoto