Table of Contents
« prev
next »
Washington University Experience
|
PERIPHERAL NEUROPATHY
|
10 INFECTION
|
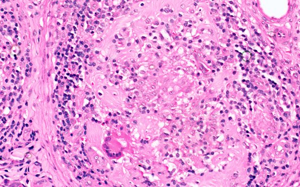
4 Leprosy – Tuberculoid
|
8A3 Leprosy, Tuberculoid (Case 8) 40X 2
Higher magnification of image #8A2. (H&E)
Image Info
Camera Maker:
Olympus
Camera Model:
DP74
Shutter Speed:
1/200 sec
Metering Mode:
Multi-Spot
Gallery RSS
|
Archive View
|
Login
|
Powered by
Zenphoto