Table of Contents
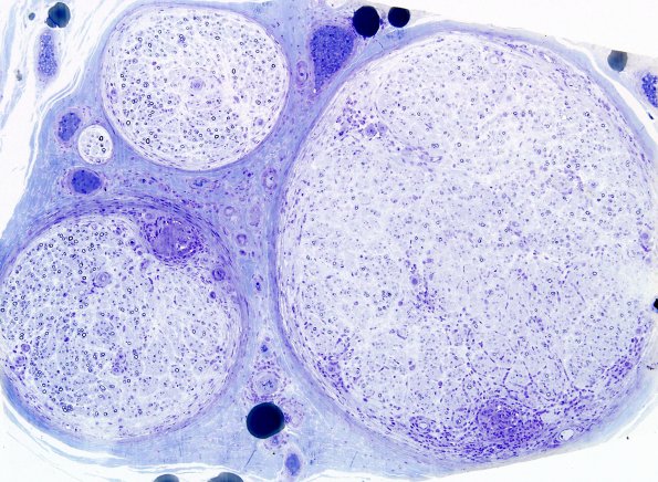
Washington University Experience | PERIPHERAL NEUROPATHY | 10 INFECTION | 5 Leprosy - Other | 1B1A Leprosy, tuberculoid (Case 1) Plastic 8
1B1A-C This low magnification image shows small patches of granuloma in several fascicles with significant myelinated axon loss. (plastic sections)
