Table of Contents



Washington University Experience | PERIPHERAL NEUROPATHY | 10 INFECTION | 5 Leprosy - Other | 1B1B Leprosy, tuberculoid (Case 1) Plastic 1

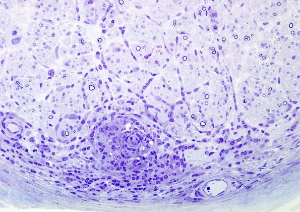
1B1B Leprosy, tuberculoid (Case 1) Plastic 1
Higher magnification of a granuloma in 1B1A. (Plastic section)


Gallery RSS RSS Feed | Archive View | Login | Powered by Zenphoto