Table of Contents
Washington University Experience | PERIPHERAL NEUROPATHY | 10 INFECTION | 5 Leprosy - Other | 1B2A Leprosy, tuberculoid (Case 1) Plastic 40X 1
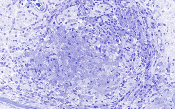
1B2A,B Although the density of axons is decreased, the fascicles are enlarged resulting in a more modest overall axon loss. Many of the axons show thinned myelin but relatively few regenerative clusters suggesting a demyelinated component. (plastic sections)
