Table of Contents
Washington University Experience | PERIPHERAL NEUROPATHY | 10 INFECTION | 5 Leprosy - Other | 1B3B Leprosy, tuberculoid (Case 1) Plastic 7
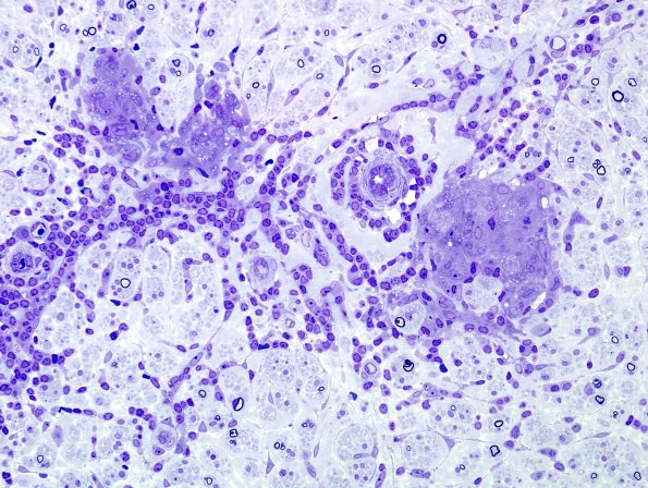
Patchy collections of epithelioid histiocytes form small granulomas. There are small residual myelinated axons. (plastic sections)
