Table of Contents
« prev
Washington University Experience
|
PERIPHERAL NEUROPATHY
|
10 INFECTION
|
5 Leprosy - Other
|
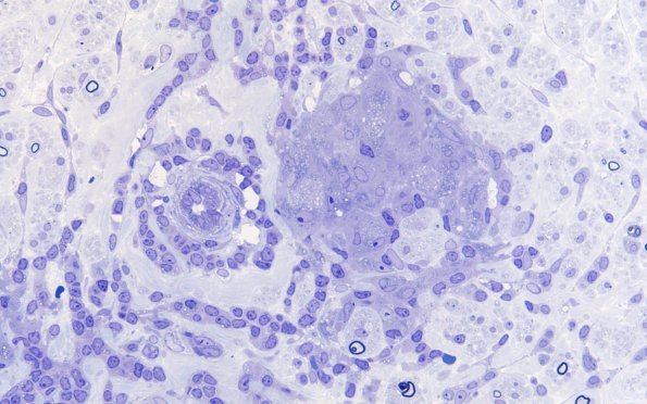
1B3C Leprosy, tuberculoid (Case 1) Plastic 60X
Higher magnification of granuloma. (Plastic section)
Image Info
Camera Maker:
Olympus
Camera Model:
DP74
Shutter Speed:
29/1250 sec
Metering Mode:
Multi-Spot
Gallery RSS
|
Archive View
|
Login
|
Powered by
Zenphoto