Table of Contents
Washington University Experience | PERIPHERAL NEUROPATHY | 11 VASCULITIS - VASCULOPATHY | 2 Vasculopathy | 0A1 EM 68 - Copy
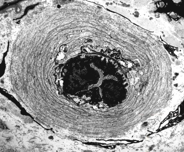
0A1 This is a typical classic diabetic type of endoneurial vascular thickening seen in diabetic neuropathy and consists of multiple concentric basal laminae largely devoid of cytoplasm. (electron micrograph)
