Table of Contents
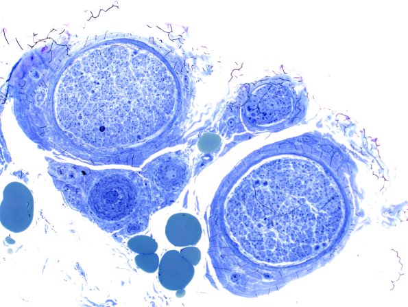
Washington University Experience | PERIPHERAL NEUROPATHY | 11 VASCULITIS - VASCULOPATHY | 2 Vasculopathy | 13B1 (Case 13) Plastic 10X
13B1,2 One micron-thick, toluidine blue stained sections show near complete loss of large and small (large>small) myelinated axons, and minimal inter-fascicular variability.
