Table of Contents
Washington University Experience | PERIPHERAL NEUROPATHY | 11 VASCULITIS - VASCULOPATHY | 2 Vasculopathy | 13C4 (Case 13) EM026 - Copy
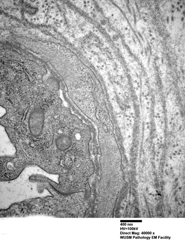
The endoneurial vessels show thickening by concentric proliferation of basal lamina. (electron micrographs) ---- Interpretation: This non-diabetic patient shows a pattern associated with diabetes and, instead, exhibits C5b-9 deposition on the endoneurial vasculature, a pattern consistent with HIEM.
