Table of Contents
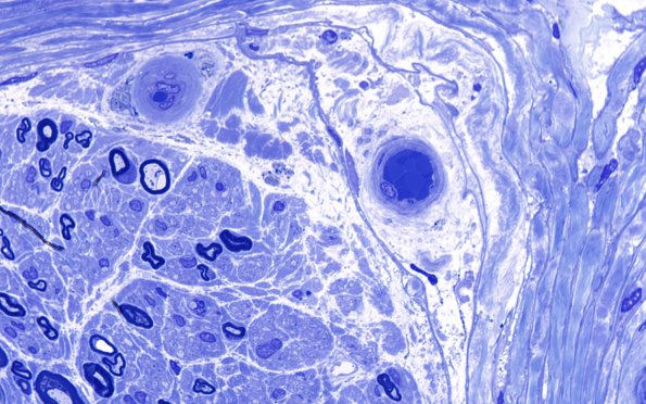
Washington University Experience | PERIPHERAL NEUROPATHY | 11 VASCULITIS - VASCULOPATHY | 2 Vasculopathy | 14A1 (Case 14) Plastic 100X 1
Case 14 History ---- The patient was an 84-year-old non-diabetic male with idiopathic sensory-motor axonal neuropathy concerning for immune microvasculopathy. Operative procedure: Left sural nerve and left deltoid muscle biopsy. ---- 14A1,2 One micron-thick, toluidine blue stained sections show moderate loss of large and small myelinated axons. Losses within one fascicle exhibit unequivocal intra-fascicular variability. A few regenerative clusters are noted, and some of the remaining large axons show thin myelination for axon caliber. Some endoneurial blood vessels show uniform mural thickening.
