Table of Contents
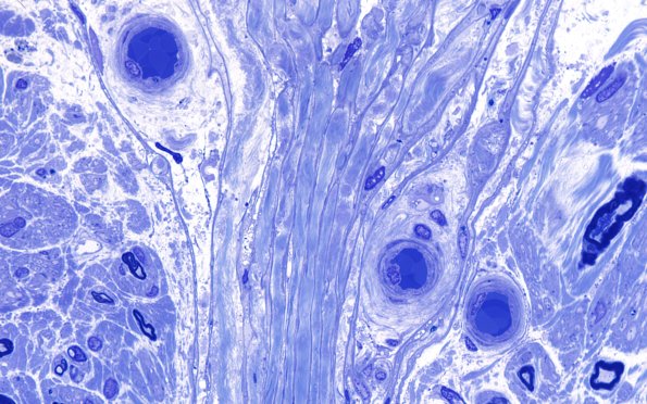
Washington University Experience | PERIPHERAL NEUROPATHY | 11 VASCULITIS - VASCULOPATHY | 2 Vasculopathy | 14A2 (Case 14) Plastic 100X 2
One micron-thick, toluidine blue stained sections show moderate loss of large and small myelinated axons. Losses within one fascicle exhibit unequivocal intra-fascicular variability. A few regenerative clusters are noted, and some of the remaining large axons show thin myelination for axon caliber. Some endoneurial blood vessels show uniform mural thickening.
