Table of Contents
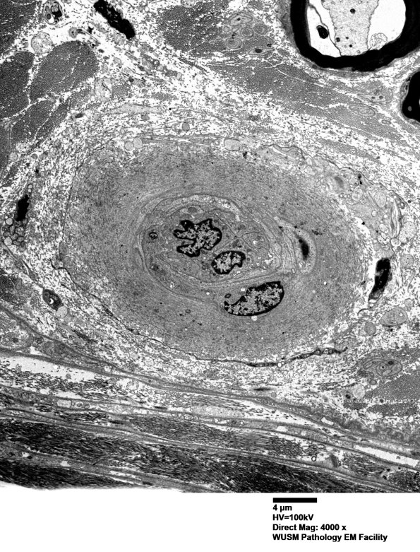
Washington University Experience | PERIPHERAL NEUROPATHY | 11 VASCULITIS - VASCULOPATHY | 2 Vasculopathy | 14B1A (Case 14) EM002 - Copy
14B1A-D The endoneurial vessel shown here is expanded by collagen deposition with a small contribution by fragments of basal lamina. (electron micrographs)
