Table of Contents
Washington University Experience | PERIPHERAL NEUROPATHY | 11 VASCULITIS - VASCULOPATHY | 2 Vasculopathy | 14B1C (Case 14) EM005 - Copy
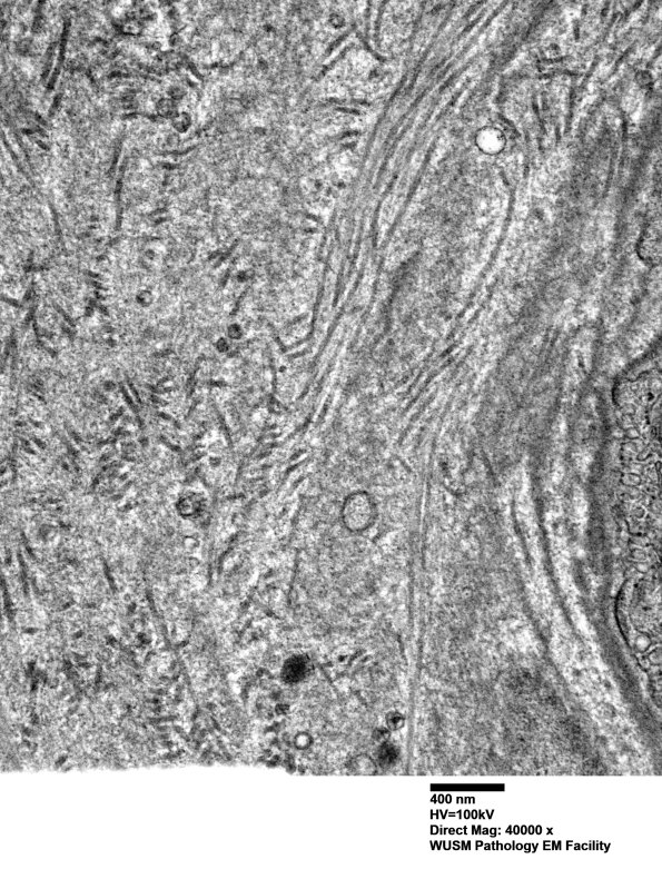
The endoneurial vessel shown here is expanded by collagen deposition with a small contribution by fragments of basal lamina. (electron micrographs)
