Table of Contents
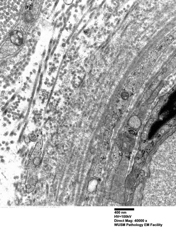
Washington University Experience | PERIPHERAL NEUROPATHY | 11 VASCULITIS - VASCULOPATHY | 2 Vasculopathy | 14B2D (Case 14) EM014 - Copy
Multiple magnifications of a mildly enlarged vessel which has been expanded by collagen deposition. (electron micrographs)
