Table of Contents
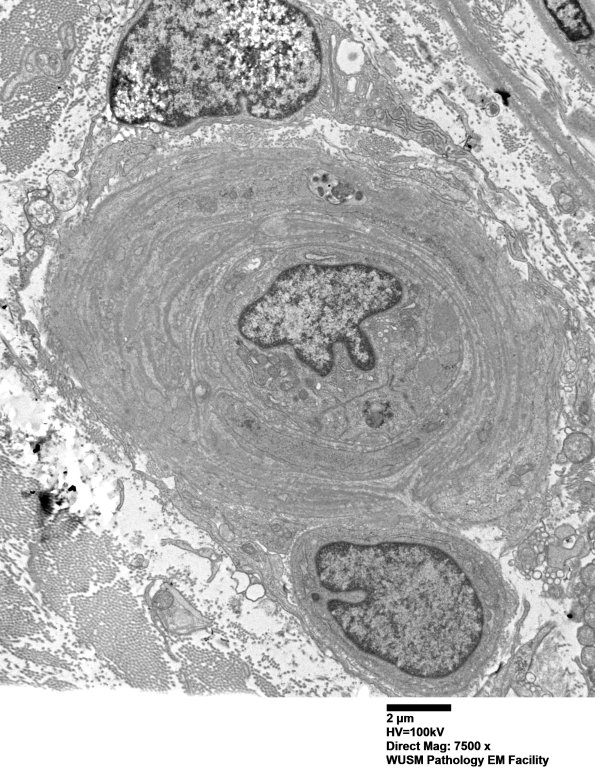
Washington University Experience | PERIPHERAL NEUROPATHY | 11 VASCULITIS - VASCULOPATHY | 2 Vasculopathy | 14B3A (Case 14) EM017 - Copy
14B3A-C In this vessel the expansion of the vessel wall is largely composed of reduplicated intact and fragmented basal lamina. (electron micrographs)
