Table of Contents
Washington University Experience | PERIPHERAL NEUROPATHY | 11 VASCULITIS - VASCULOPATHY | 2 Vasculopathy | 15A1 (Case 15) HIEM Plastic 4X 2
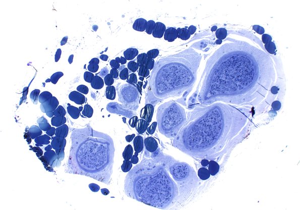
Case 15 History ---- The patient was a 79-year-old man with sensory motor polyneuropathy. He is not diabetic (HbA1c = 5.5). Operative procedure: left deltoid muscle biopsy and left sural nerve biopsy. ---- 15A1 One micron-thick, toluidine blue stained sections show moderate loss of large and small myelinated axons. Some remaining large axons show thin for axon caliber myelination, consistent with a history of injury and completed repair. Regenerative clusters are frequent. (plastic sections)
