Table of Contents
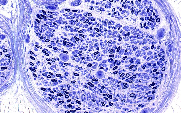
Washington University Experience | PERIPHERAL NEUROPATHY | 11 VASCULITIS - VASCULOPATHY | 2 Vasculopathy | 15A2 (Case 15) HIEM Plastic 20X
15A2,3 Some endoneurial blood vessels show mild to-moderate mural thickening at different magnifications. (plastic sections)
