Table of Contents
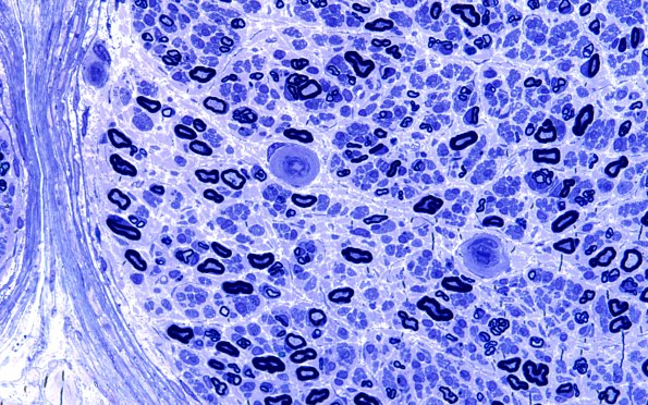
Washington University Experience | PERIPHERAL NEUROPATHY | 11 VASCULITIS - VASCULOPATHY | 2 Vasculopathy | 15A3 (Case 15) HIEM Plastic 60X 2
Some endoneurial blood vessels show mild to-moderate mural thickening at different magnifications. (plastic sections)
