Table of Contents
Washington University Experience | PERIPHERAL NEUROPATHY | 11 VASCULITIS - VASCULOPATHY | 2 Vasculopathy | 15B2 (Case 15) HIEM EM 003 - Copy
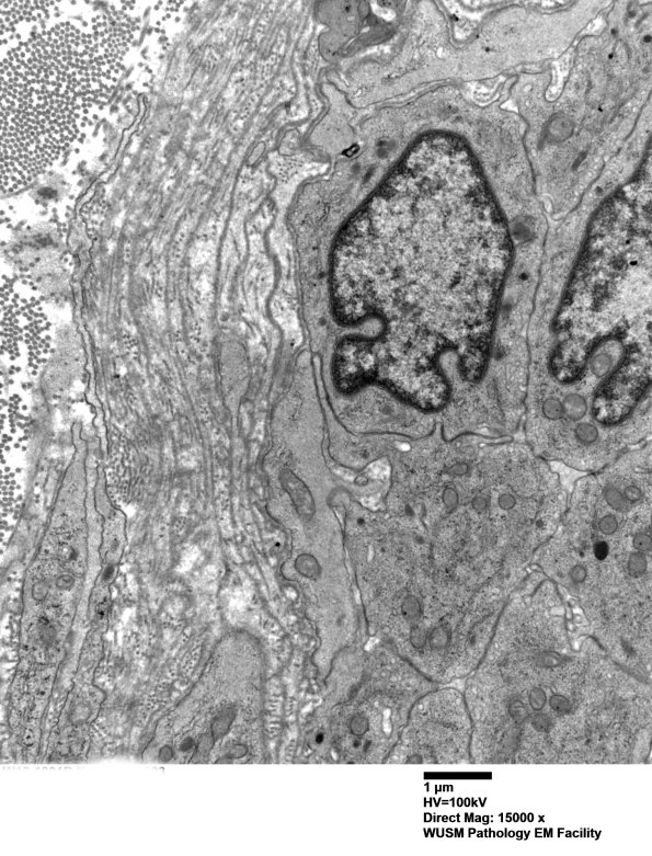
In this case the expanded wall is composed largely of basal membranes. (electron micrographs)
