Table of Contents
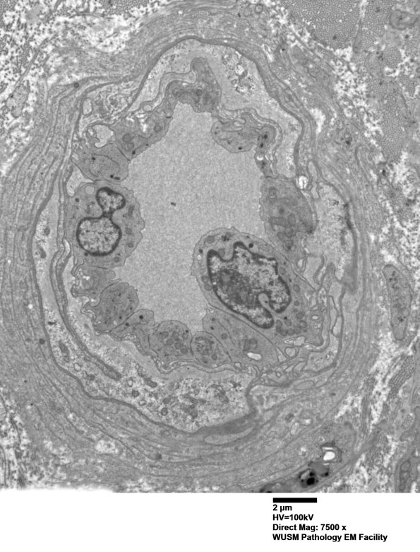
Washington University Experience | PERIPHERAL NEUROPATHY | 11 VASCULITIS - VASCULOPATHY | 2 Vasculopathy | 15B3 (Case 15) HIEM EM 006 - Copy
In this case the expanded wall is composed largely of basal membranes. (electron micrographs) ---- Interpretation: Humoral immune microvasculopathic neuropathy (HIEM) with C5b-9 deposition on endoneurial capillaries in some fascicles and moderate loss of large and small myelinated axons, variable between and within fascicles.
