Table of Contents
Washington University Experience | PERIPHERAL NEUROPATHY | 11 VASCULITIS - VASCULOPATHY | 2 Vasculopathy | 16B1 (Case 16) HIEM EM017 - Copy
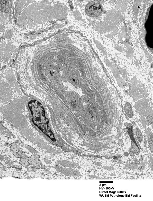
16B1,2 Accumulated mostly intact basal membranes (arrows, 16B2) expand the vessel wall. (electron micrographs)
