Table of Contents
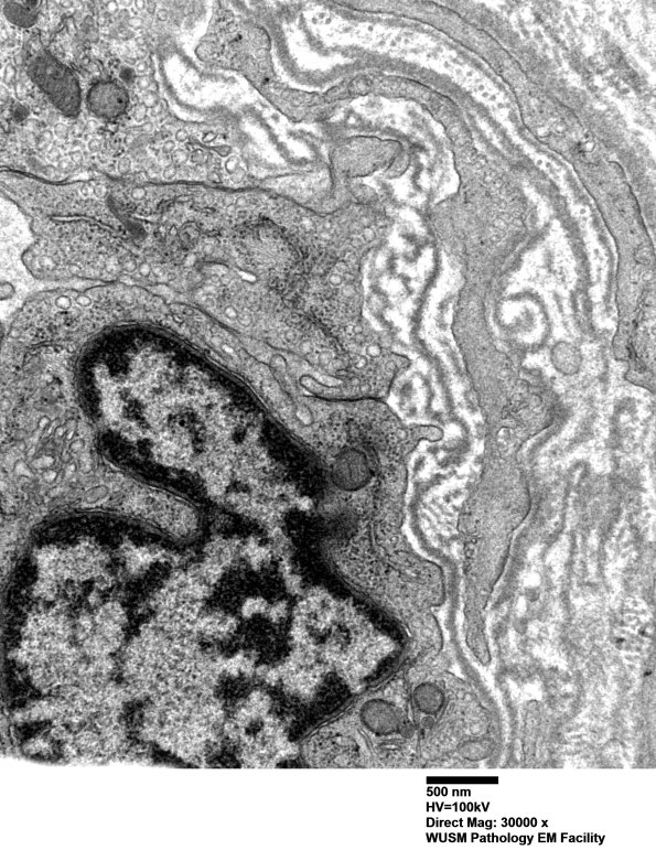
Washington University Experience | PERIPHERAL NEUROPATHY | 11 VASCULITIS - VASCULOPATHY | 2 Vasculopathy | 16B10 (Case 16) HIEM EM031 - Copy
There are numerous fragments of basal membranes within the abnormal vessel wall. (electron micrographs) ---- Interpretation: A diagnosis of humoral immune microvasculopathy (HIEM) was made on this nerve with C5b-9 deposited on some endoneurial microvessels.
