Table of Contents
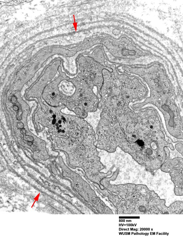
Washington University Experience | PERIPHERAL NEUROPATHY | 11 VASCULITIS - VASCULOPATHY | 2 Vasculopathy | 16B2 (Case 16) HIEM EM018 - Copy copy
Accumulated mostly intact basal membranes (arrows, 16B2) expand the vessel wall. (electron micrographs)
