Table of Contents
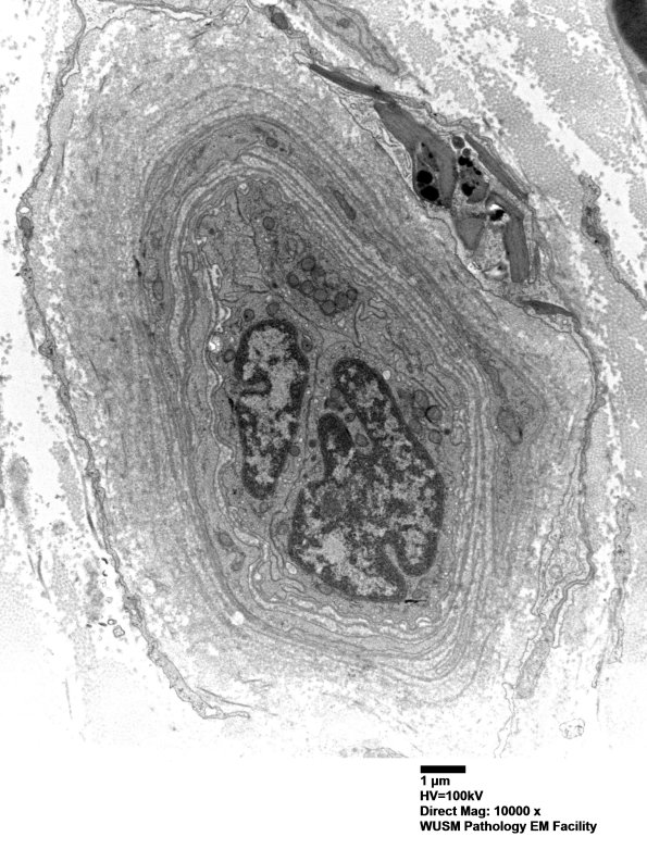
Washington University Experience | PERIPHERAL NEUROPATHY | 11 VASCULITIS - VASCULOPATHY | 2 Vasculopathy | 16B5 (Case 16) HIEM EM028 - Copy
16B5,6 Accumulated intact basal membranes expand the vessel wall. (electron micrographs)
