Table of Contents
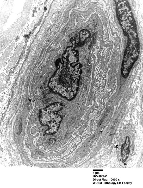
Washington University Experience | PERIPHERAL NEUROPATHY | 11 VASCULITIS - VASCULOPATHY | 2 Vasculopathy | 16B7 (Case 16) HIEM EM026 - Copy
16B7,8 There are numerous fragments of basal membranes (arrows, 16B8) within the abnormal vessel wall. (electron micrographs)
