Table of Contents
Washington University Experience | PERIPHERAL NEUROPATHY | 11 VASCULITIS - VASCULOPATHY | 2 Vasculopathy | 16B8 (Case 16) HIEM EM027 - Copy copy
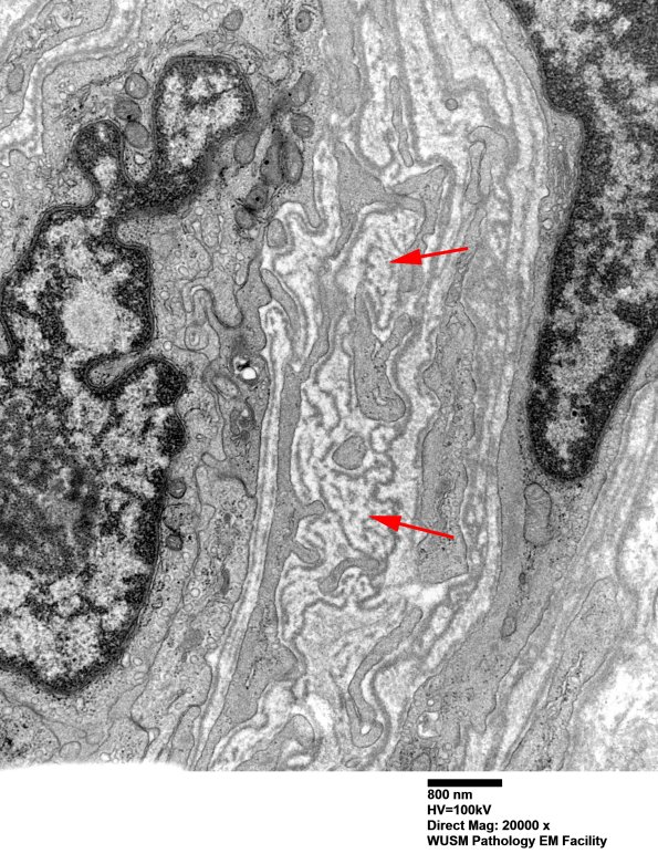
There are numerous fragments of basal membranes (arrows, 16B8) within the abnormal vessel wall. (electron micrographs)
