Table of Contents
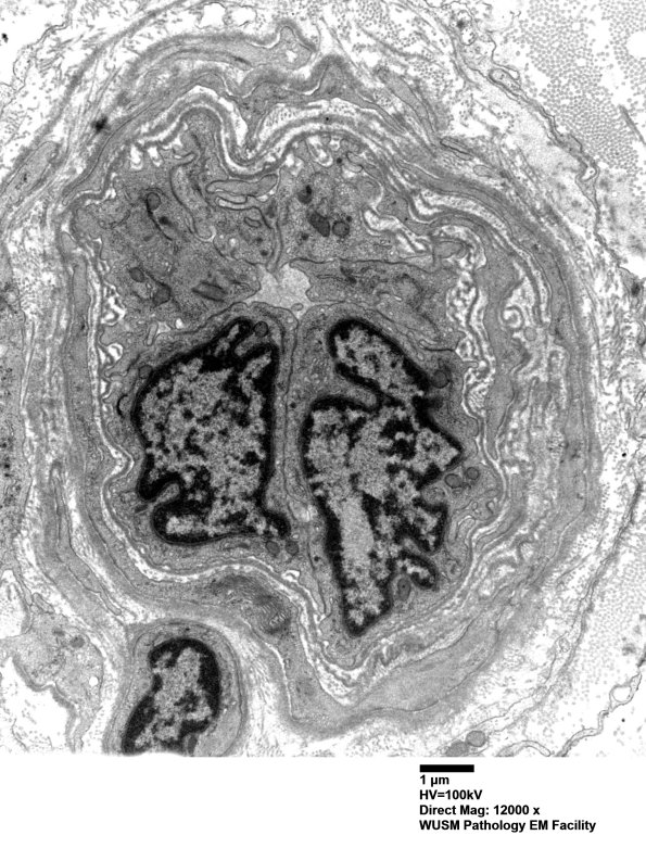
Washington University Experience | PERIPHERAL NEUROPATHY | 11 VASCULITIS - VASCULOPATHY | 2 Vasculopathy | 16B9 (Case 16) HIEM EM030 - Copy
16B9,10 There are numerous fragments of basal membranes within the abnormal vessel wall. (electron micrographs)
