Table of Contents
Washington University Experience | PERIPHERAL NEUROPATHY | 11 VASCULITIS - VASCULOPATHY | 2 Vasculopathy | 17A (Case 17) HIEM 60X 1
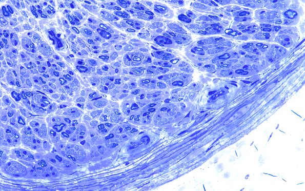
Case 17 History ---- The patient was a 77-year-old man with progressive lower extremity weakness. Operative procedure: Right sural nerve biopsy. Clinical History: A 77-year-old man with neuropathy, leg weakness and serum IgM antibodies against TS-HDS (Trisulfated Heparin Disaccharide). ----- 17A One micron-thick, toluidine blue stained sections show moderate loss of large and small myelinated axons without intra- or inter-fascicular variability. Some of the remaining large axons show thin myelin sheaths for axon caliber, consistent with a history of injury and completed repair. There is no evidence of active axonal degeneration. (plastic sections)
