Table of Contents



Washington University Experience | PERIPHERAL NEUROPATHY | 11 VASCULITIS - VASCULOPATHY | 2 Vasculopathy | 17B3 (Case 17) HIEM EM017 - Copy

17B3 (Case 17) HIEM EM017 - Copy
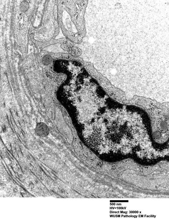
The vessels are mildly enlarged by basal lamina and collagen. (electron micrographs)


Gallery RSS RSS Feed | Archive View | Login | Powered by Zenphoto