Table of Contents
Washington University Experience | PERIPHERAL NEUROPATHY | 11 VASCULITIS - VASCULOPATHY | 2 Vasculopathy | 17B5 (Case 17) HIEM EM019 - Copy
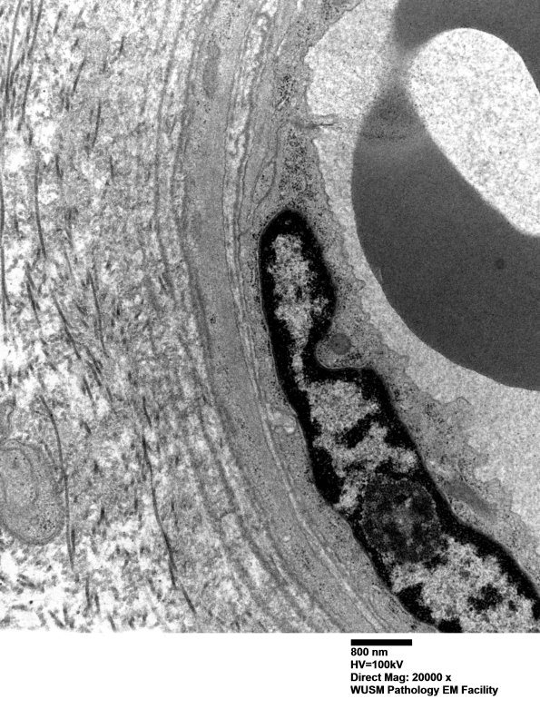
An additional example of mild vascular enlargement. (electron micrographs) ---- Interpretation: Mildly abnormal immune stains with C5b-9 staining of a few endoneurial capillaries. The changes are minor but could represent HIEM.
