Table of Contents
Washington University Experience | PERIPHERAL NEUROPATHY | 11 VASCULITIS - VASCULOPATHY | 2 Vasculopathy | 1A1-Vasculopathy-Case-1-Plastic-1.jpg
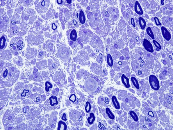
1A1-5 Plastic sections show moderate loss of large and small myelinated axons. Endoneurial vessels are prominent and symmetrically thickened. Epineurial vessels also appear thickened, a change commonly seen in diabetes but not specific for that entity. There is no evidence of vasculitis or perineurial/intraneural inflammation. (plastic sections)
