Table of Contents
« prev
next »
Washington University Experience
|
PERIPHERAL NEUROPATHY
|
11 VASCULITIS - VASCULOPATHY
|
2 Vasculopathy
|
1A3-Vasculopathy-Case-1-Plastic-3.jpg
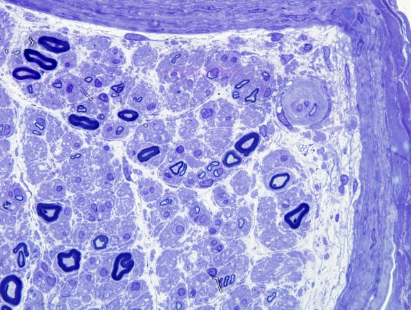
Endoneurial vessels are prominent and symmetrically thickened.
Image Info
Camera Maker:
Olympus Corporation
Camera Model:
DP70
Original Time Taken:
10-11-2014
Shutter Speed:
10/107 sec
ISO Sensitivity:
200
Metering Mode:
Spot
Gallery RSS
|
Archive View
|
Login
|
Powered by
Zenphoto