Table of Contents
Washington University Experience | PERIPHERAL NEUROPATHY | 11 VASCULITIS - VASCULOPATHY | 2 Vasculopathy | 1B2 Vasculopathy (Case 1) EM018 - Copy
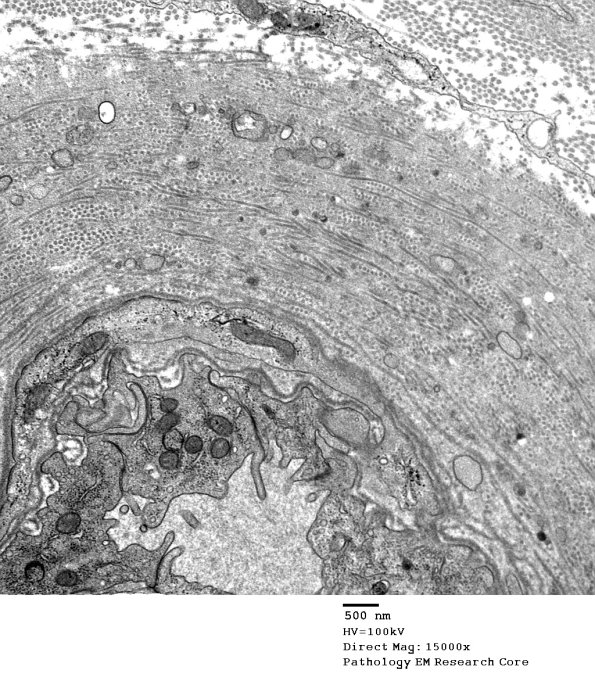
1B2-5 Progressively higher magnifications of the wall of this vessel shows it is composed of collagen oriented in longitudinal and circumferential patterns. (electron micrographs)
