Table of Contents
Washington University Experience | PERIPHERAL NEUROPATHY | 11 VASCULITIS - VASCULOPATHY | 2 Vasculopathy | 1B3 Vasculopathy (Case 1) EM017 - Copy
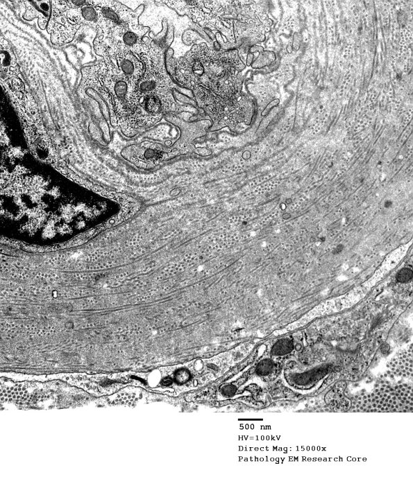
Progressively higher magnifications of the wall of this vessel shows it is composed of collagen oriented in longitudinal and circumferential patterns. (electron micrographs)
