Table of Contents
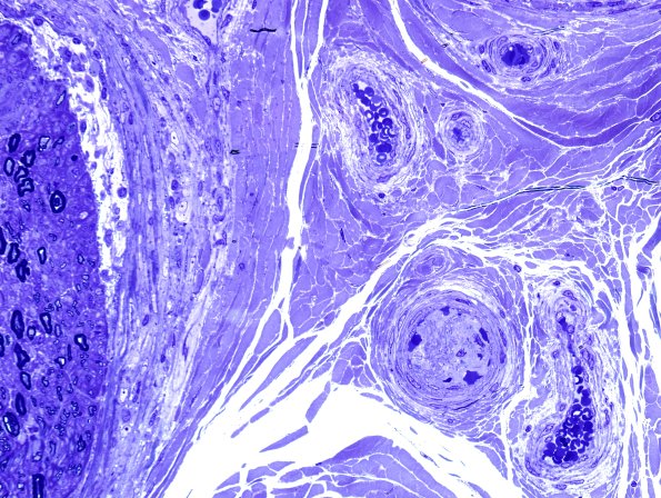
Washington University Experience | PERIPHERAL NEUROPATHY | 11 VASCULITIS - VASCULOPATHY | 2 Vasculopathy | 2C2-Perineuritis-Vasculopathy-Case-2-Plastic-1.jpg
2C2,3 An apparently occluded/thrombosed blood vessel with no evidence of inflammation/necrosis. (plastic sections)
