Table of Contents
Washington University Experience | PERIPHERAL NEUROPATHY | 11 VASCULITIS - VASCULOPATHY | 2 Vasculopathy | 2D1 Vasculopathy (Case 2) EM 008 - Copy
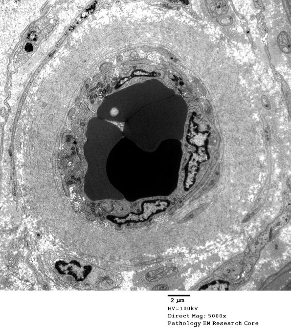
2D1-3 Endoneurial vessel with walls thickened by collagen in longitudinal and circumferential orientation. (electron micrographs)
