Table of Contents
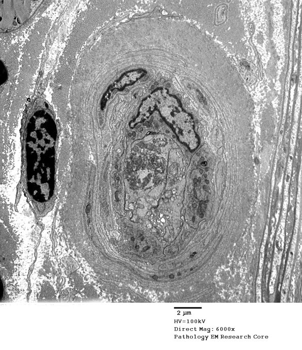
Washington University Experience | PERIPHERAL NEUROPATHY | 11 VASCULITIS - VASCULOPATHY | 2 Vasculopathy | 2D8 Vasculopathy (Case 2) EM039 - Copy
Findings consistent with plump, reactive endothelial cells in vessels with thickened collagenized walls. (electron micrographs)
