Table of Contents
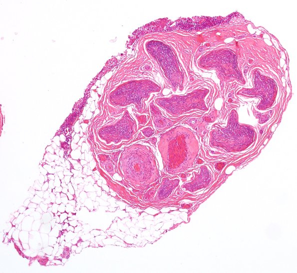
Washington University Experience | PERIPHERAL NEUROPATHY | 11 VASCULITIS - VASCULOPATHY | 2 Vasculopathy | 3A1 Vasculopathy (Case 3) H&E 5
Case 3 History ---- The patient is a 69-year-old man with distal weakness. Operative procedure: L sural Nerve biopsy. ---- 3A1-3 A large epineurial vessel with thickened walls in the absence of amyloid or angionecrosis. (H&E)
