Table of Contents
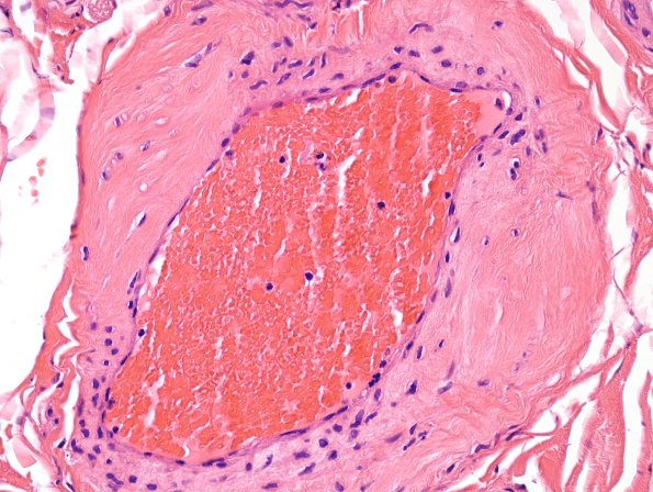
Washington University Experience | PERIPHERAL NEUROPATHY | 11 VASCULITIS - VASCULOPATHY | 2 Vasculopathy | 3A3 Vasculopathy (Case 3) H&E 2
A large epineurial vessel with thickened walls in the absence of amyloid or angionecrosis. (H&E)
