Table of Contents
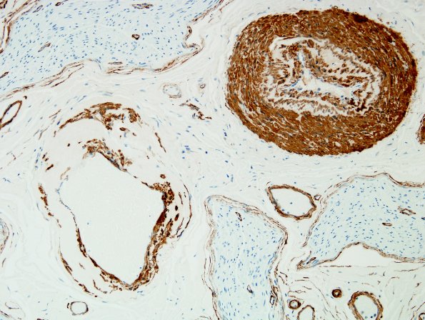
Washington University Experience | PERIPHERAL NEUROPATHY | 11 VASCULITIS - VASCULOPATHY | 2 Vasculopathy | 3B Vasculopathy (Case 3) SMA 1
The same vessel shown in image #3A1 showing damage to the smooth muscle of its wall. (SMA IHC)
