Table of Contents
Washington University Experience | PERIPHERAL NEUROPATHY | 11 VASCULITIS - VASCULOPATHY | 2 Vasculopathy | 3C1 Vasculopathy (Case 3) Plastic 2
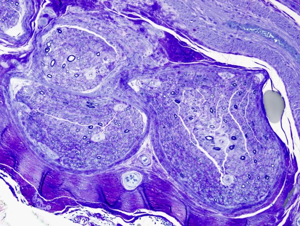
3C1-3 There is severe loss of large and small myelinated axons (large>small) with regenerative clusters and markedly thickened epineurial and endoneurial vessels. The endoneurial microvasculature is symmetrically thickened, occasionally markedly, but a Thioflavin stain for amyloid is negative. There is no perineurial/intraneural inflammation. (plastic sections)
