Table of Contents
« prev
next »
Washington University Experience
|
PERIPHERAL NEUROPATHY
|
11 VASCULITIS - VASCULOPATHY
|
2 Vasculopathy
|
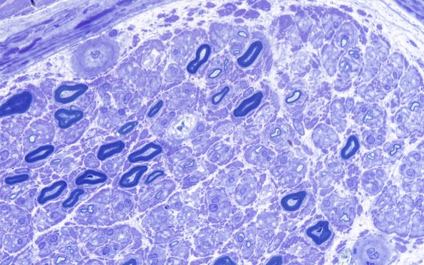
4A2 Vasculopathy (Case 4) Plastic 100X 1
4A2-4 Many endoneurial vessels are substantially thickened. (plastic section)
Image Info
Camera Maker:
Olympus
Camera Model:
DP74
Shutter Speed:
42/1123 sec
Metering Mode:
Multi-Spot
Gallery RSS
|
Archive View
|
Login
|
Powered by
Zenphoto