Table of Contents
Washington University Experience | PERIPHERAL NEUROPATHY | 11 VASCULITIS - VASCULOPATHY | 2 Vasculopathy | 4B1 Vasculopathy (Case 4) EM 013 - Copy
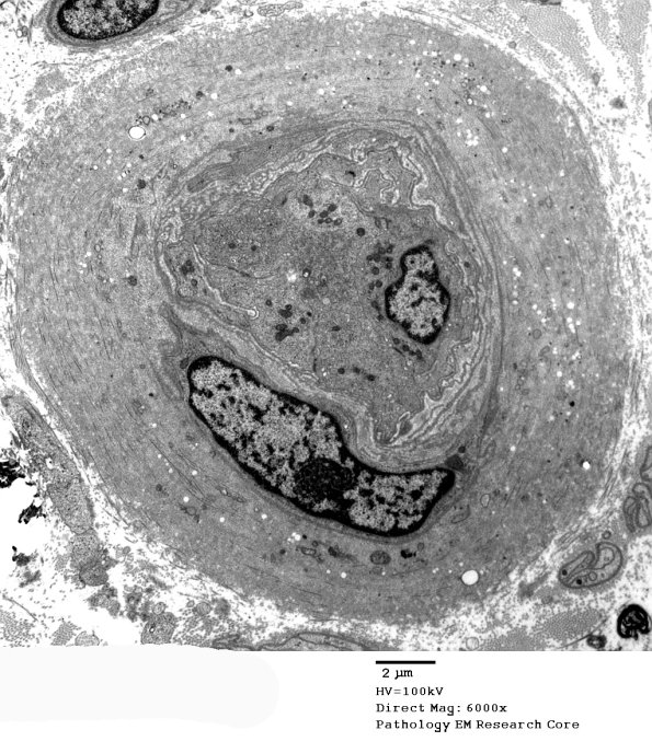
EM confirms the moderate loss of large and small myelinated axons and demonstrates the significant loss of unmyelinated axons. There is no demyelination. ---- 4B1-3 Ultrastructural evidence demonstrates a few turns of basement membrane surrounding vessels and preponderant collagen deposition. (electron micrographs)
