Table of Contents
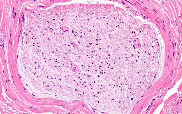
Washington University Experience | PERIPHERAL NEUROPATHY | 11 VASCULITIS - VASCULOPATHY | 2 Vasculopathy | 5A2 (Case 5) H&E 40X
Routine sections showed significant endoneurial pallor and no evidence of angionecrosis. There is no evidence of collections of possible neoplastic cells (H&E)
