Table of Contents
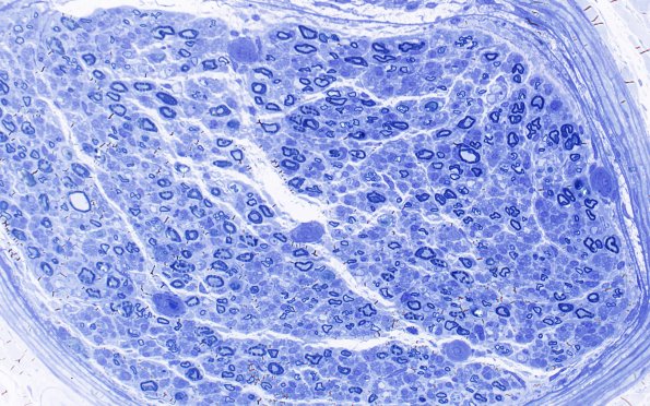
Washington University Experience | PERIPHERAL NEUROPATHY | 11 VASCULITIS - VASCULOPATHY | 2 Vasculopathy | 5B1 (Case 5) Plastic 40X 1
There is moderate loss of large and small myelinated axons with significant intra- and inter-fascicular variability. (plastic section)
