Table of Contents
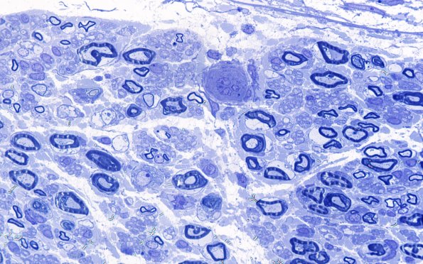
Washington University Experience | PERIPHERAL NEUROPATHY | 11 VASCULITIS - VASCULOPATHY | 2 Vasculopathy | 5B2 (Case 5) Plastic 100X 1
5B2-4 Many endoneurial vessels show marked thickening of their walls. Most of the remaining large axons show thin myelination for axon caliber, consistent with a history of axonal degeneration and regeneration. Regenerative clusters are rare, however. (plastic sections)
