Table of Contents
« prev
next »
Washington University Experience
|
PERIPHERAL NEUROPATHY
|
11 VASCULITIS - VASCULOPATHY
|
2 Vasculopathy
|
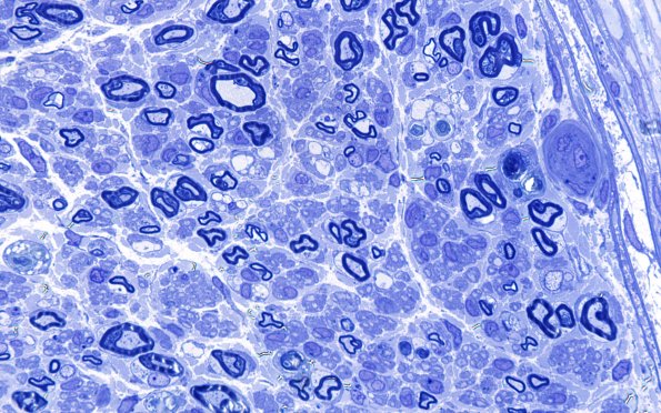
5B3 (Case 5) Plastic 100X 2
Many endoneurial vessels show marked thickening of their walls.
Image Info
Camera Maker:
Olympus
Camera Model:
DP74
Shutter Speed:
9/100 sec
Metering Mode:
Multi-Spot
Gallery RSS
|
Archive View
|
Login
|
Powered by
Zenphoto